ACHIEVE THE SMILE YOU’VE ALWAYS WANTED IN 4 VISITS OR LESSIN AN INVISIBLE WAY

BOOK A FREE CONSULTATION

Why choose Smile Health Orthodontics

We have helped countless patients achieve their dream smiles, and we would love to do the same for you. We are committed to providing exceptional orthodontic care in a warm and welcoming environment.

Not sure about fixed braces vs clear aligners? At SHO smile, your clear aligner trial is included at no extra cost. Best yet, we can monitor your weekly progress from the comfort of your home – no appointment necessary.

We Use the Latest and Best Technology

We Use the Latest and Best Technology

Thousands of Happy Patients Treated

Thousands of Happy Patients Treated

Fun and Friendly Environment 

Fun and Friendly Environment 

Remote Treatment Monitoring 

Remote Treatment Monitoring 

Patient 
Rewards Hub

Patient 
Rewards Hub

No Charge
Clear Aligner Trial 

No Charge
Clear Aligner Trial 

INVISALIGN® FOR ADULTS

Look beautiful while enhancing your smile

With virtually-invisible Invisalign® clear aligners, no one needs to know you’re improving your smile.

Discover More
INVISALIGN® FOR ADULTS

INVISALIGN® FOR TEENS

Treatment that fits your lifestyle

There is no need to adjust your diet or after-school activities with convenient Invisalign® treatment.

Discover more
INVISALIGN® FOR TEENS

INVISALIGN® FOR KIDS

Protect the health of your child’s smile

Invisalign® First can guide the growth of your child’s smile and simplify (or prevent the need for) treatment in their teenage years.

Discover more
INVISALIGN® FOR KIDS
Braces

Braces

Achieve results in 50% less time

Brava by BRIUS® is a revolutionary treatment that can move all your teeth simultaneously and independently of each other.

Discover more
MEET OUR DOCTOR

MEET OUR DOCTOR

Dr. Deborah Solomon

Dr. Solomon loves nothing more than putting a smile on your face. She is passionate about shaping smiles – and creating lasting relationships with her patients.

Meet Dr. Solomon

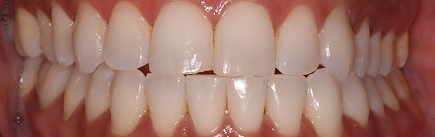
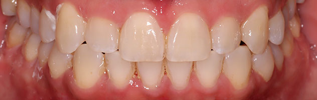
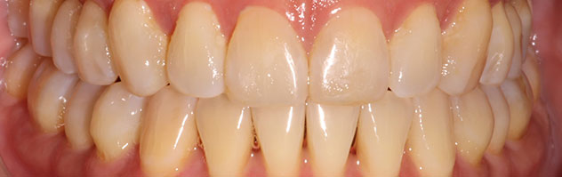
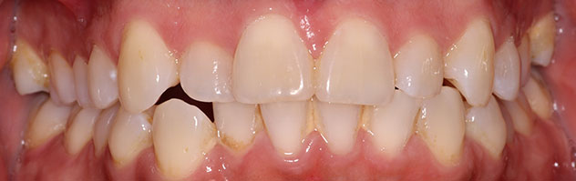
Patient results

We have helped countless patients improve their dental health, and boost their confidence, through our orthodontic treatments.

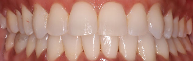
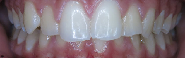
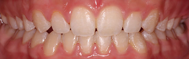
AC Before After
AC Before After

Spacing, misalignment and flared upper teeth with misshapen central incisors

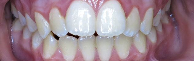
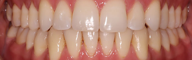
BL Before After
BL Before After

Anterior open bite due to tongue thrust, chipping incisors due to edge-to-edge bite, uncoordinated maxillary and mandibular arches, some crowding, misalignment.

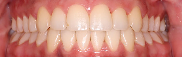
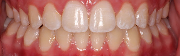
EM Before After
EM Before After

Narrow arches, severe class 2 skeletal and dental bite (upper jaw and upper teeth are too far forward compared to the lower jaw and the lower teeth, severely flared upper incisors, anterior open bite due to tongue thrust, incorrect gingival height.

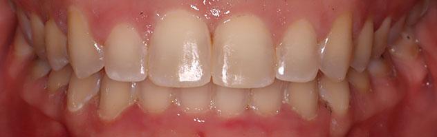
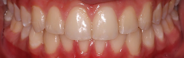
DP Before After
DP Before After

Flared upper incisors, deep overbite, class 2 bite (upper jaw is too far forward compared to the lower jaw), crowding in the lower arch, misalignment, uneven gingival architecture, misshapen teeth.

IR Before After
IR Before After

Severe crowding in the upper and lower arches, anterior open bite due to tongue thrust habit, uneven gingival architecture, narrow arches, misshapen teeth, misalignment.

KW Before After
KW Before After

Anterior open bite due to tongue thrust despite history of orthognathic jaw surgery to correct the open bite, overly expanded upper posterior molars from previous orthodontic treatment at other treating dentist, periodontally compromised teeth.

NL Before After
NL Before After

Deep bite, misshapen teeth, moderate spacing, misalignment.

SS Before After
SS Before After

Patient presents unsatisfied with previous orthognathic jaw surgery results, traumatic occlusion, incisal edges of anterior teeth chipping due to edge-to-edge bite, grinding of teeth, midlines are off.

SG Before After
SG Before After

Flared anterior teeth, crossbite and edge-to-edge bite, class 3 skeletal and dental bite, incisal edge chipping, mobile (loose) front teeth due to traumatic anterior bite, midlines are off.

YA Before After
YA Before After

Crowding, misalignment, uneven gingival architecture.

PATIENT REVIEWS

Our patients’ satisfaction is our top priority

We take pride in helping our patients achieve the confidence that comes with a beautiful smile. See what our patients have to say about their experience with us.

Testimonials

COSTS

Flexible payment plans & finance options

Learn how to fit a straight smile into your budget with our flexible finance plans.

Costs
Flexible payment plans & finance options
BOOK A CONSULTATION

BOOK A CONSULTATION

Achieve the smile you’ve always wanted

Book your free consultation today to take the first step towards a healthier, more confident smile.

Book a free consultation